Serving Smiles for 20+ Years with Compassion & Care
page No :- 80
page :- 81
Date :- 23\10\2025
Expert dental solutions for your smile transformation.
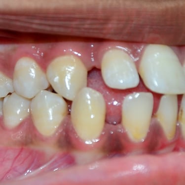
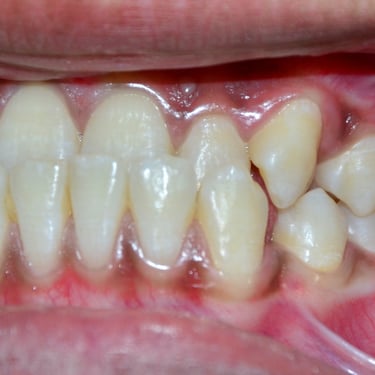
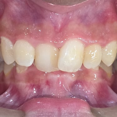
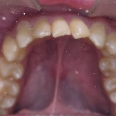
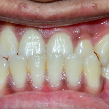
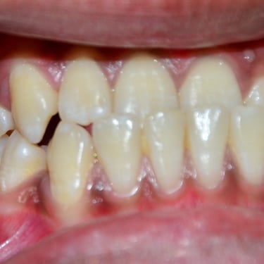
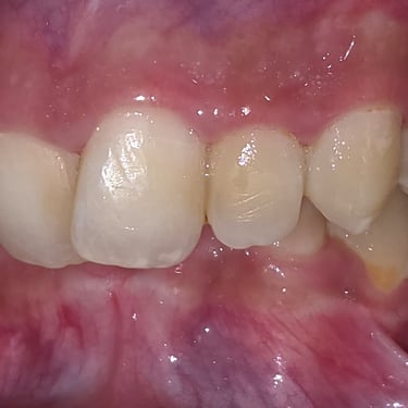
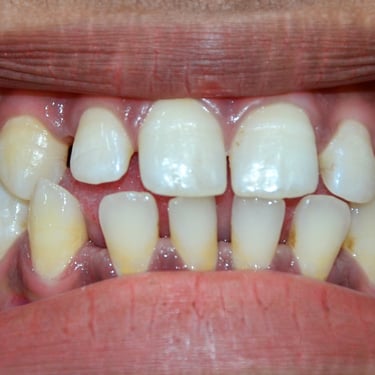
Health
Smile
enquiry@muskandentalcare.in
+91-9431157819
© 2025. All rights reserved.